آسیب دندانی ناشی از اسید معده یکی از مشکلات شایع اما اغلب نادیدهگرفتهشده در سلامت دهان است که میلیونها نفر در سراسر جهان بهویژه افراد مبتلا به رفلاکس معده (GERD)، زخم معده، بارداری، اختلالات خوردن مانند بولیمیا یا مصرف طولانیمدت نوشیدنیهای اسیدی را درگیر میکند.
در این مقاله جامع، بر اساس منابع معتبر دندانپزشکی و مطالعات بالینی، به بررسی دقیق علل آسیب اسید معده به دندان، مکانیسم فرسایش مینا، علائم، گروههای در معرض خطر، تشخیص، درمانهای ترمیمی و راههای پیشگیری مؤثر میپردازیم تا بتوانید با آگاهی کامل از دندانهای خود محافظت کنید.
آسیب دندانی ناشی از اسید معده چیست و چرا رخ میدهد؟
آسیب دندانی ناشی از اسید معده (Dental Erosion from Gastric Acid) به فرسایش شیمیایی مینای دندان (و در مراحل پیشرفته، عاج) به دلیل تماس مکرر با اسید معده گفته میشود. برخلاف پوسیدگی که باکتریایی است، این آسیب شیمیایی خالص است و مینای دندان را از سطح حل میکند.
اسید معده برای تجزیه پروتئینها در معده تولید میشود، اما در شرایط رفلاکس معده (GERD)، زخم معده، فتق هیاتال، استفراغ مزمن (مانند بارداری، بولیمیا یا شیمیدرمانی)، یا مصرف طولانیمدت نوشیدنیهای اسیدی، این اسید به مری و دهان بازمیگردد. بزاق معمولاً اسید را خنثی میکند (با pH حدود ۶.۲ تا ۷.۶)، اما در رفلاکس مکرر یا شبانه (هنگام خواب که بزاق کم است)، خنثیسازی کافی رخ نمیدهد. عوامل اصلی ایجاد آسیب عبارتند از:
رفلاکس معده مزمن (GERD) که دریچه بین مری و معده (اسفنکتر تحتانی مری) ضعیف عمل میکند.
استفراغ مکرر (در بارداری، اختلالات خوردن، مسمومیت غذایی یا شیمیدرمانی).
مصرف طولانیمدت نوشیدنیهای اسیدی (نوشابه، آبمیوه صنعتی، نوشیدنی انرژیزا) که pH مشابه اسید معده دارند.
فتق هیاتال (هیاتوس هرنیا) که اجازه بازگشت اسید را میدهد.
مصرف برخی داروها (مانند آسپرین، NSAIDها یا داروهای ضدافسردگی) که رفلاکس را تشدید میکنند.
استرس، چاقی، سیگار و الکل که عملکرد اسفنکتر مری را مختل میکنند.
اگر این علائم را دارید، بهتر است زودتر با یک کلینیک تخصصی مانند مهرپارسه(دندانپزشکی) مشورت کنید تا از پیشرفت آسیب جلوگیری شود.

مکانیسم فرسایش مینا توسط اسید معده
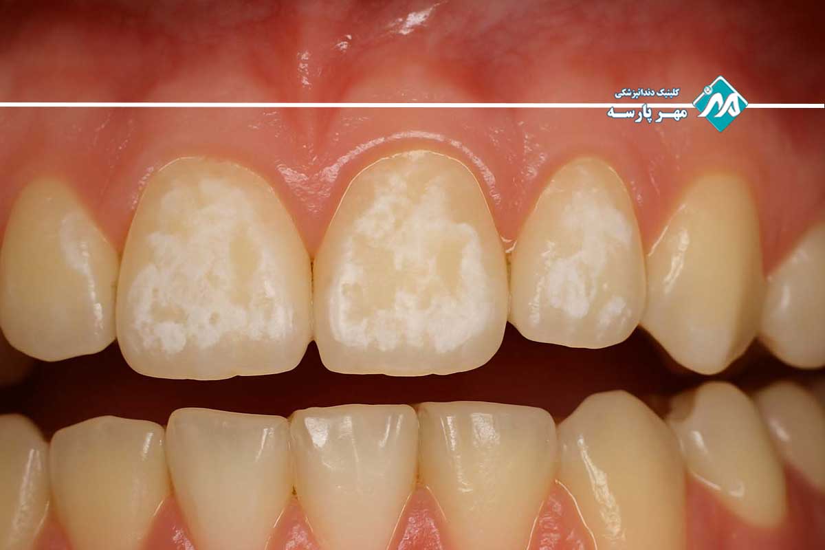
مینای دندان به عنوان سختترین بافت بدن انسان، با مقاومت نسبی در برابر اسیدها ساخته شده است و معمولاً تا pH حدود ۵.۵ میتواند در برابر حل شدن مقاومت کند؛ اما وقتی اسید معده با pH بسیار پایین (بین ۱.۵ تا ۳.۵) بهطور مکرر با سطح دندان تماس پیدا میکند، این آستانه به سرعت عبور میشود و فرآیند فرسایش شیمیایی آغاز میگردد.
مکانیسم اصلی این آسیب، دمینرالیزاسیون شیمیایی است: اسید هیدروکلریک معده یونهای هیدروژن (H⁺) آزاد میکند که مستقیماً با یونهای کلسیم و فسفات موجود در ساختار هیدروکسیآپاتیت مینای دندان واکنش نشان میدهند. این واکنش باعث حل شدن و خروج این مواد معدنی از سطح مینا میشود و ساختار کریستالی مینا را تضعیف میکند. در تماس اولیه با اسید، سطح مینا به سرعت نرم و متخلخل میشود (این مرحله معمولاً در عرض چند دقیقه رخ میدهد) و اگر بزاق بهموقع اسید را خنثی نکند، یونهای کلسیم و فسفات بهطور دائمی از دست میروند و مینا نازکتر میشود.
با تکرار این تماسها (بهویژه در رفلاکس شبانه که تولید بزاق بسیار کم است)، فرسایش عمیقتر شده و غیرقابل ترمیم میگردد؛ برخلاف دمینرالیزاسیونهای خفیف اولیه که بزاق با افزایش pH و تأمین کلسیم و فسفات میتواند آنها را بازسازی کند، فرسایش ناشی از اسید معده معمولاً برگشتناپذیر است. در مراحل پیشرفته، وقتی لایه مینا بهطور کامل از بین میرود، عاج زیرین نمایان میشود؛ عاج بافت زندهتری است و حاوی لولههای میکروسکوپی (dentinal tubules) است که مستقیماً به عصب دندان متصل هستند، بنابراین حساسیت شدید به سرد، گرم، شیرین یا ترش ایجاد میشود.
اسید معده همچنین با کاهش تولید یا کیفیت بزاق (خشکی دهان) و تغییر pH دهان، رشد باکتریهای مضر را افزایش میدهد و چرخه آسیب را تشدید میکند؛ به همین دلیل، افراد مبتلا به رفلاکس مزمن یا استفراغ مکرر معمولاً فرسایش گستردهتری را تجربه میکنند. درک این مکانیسم نشان میدهد که پیشگیری و کنترل منبع اسید (مانند درمان رفلاکس) مهمترین گام برای توقف آسیب است، زیرا حتی بهترین ترمیمهای دندانپزشکی بدون کنترل اسید، دوام طولانی نخواهند داشت.
علائم آسیب دندانی ناشی از اسید معده
علائم معمولاً تدریجی هستند و در مراحل اولیه ممکن است نادیده گرفته شوند:
- حساسیت شدید دندان به سرد، گرم، شیرین یا ترش (اولین و شایعترین علامت)
- زرد شدن یا شفاف شدن دندانها (شیشهای شدن مینا)
- لبپریدگی، ترکهای کوچک یا شکستگی آسان دندان
- درد مزمن یا تیرکشنده در دندانهای آسیاب
- بوی بد دهان مداوم (حتی پس از مسواک زدن)
- افزایش پوسیدگی در نواحی غیرمعمول (سطح پشتی دندانهای جلویی)
- تغییر شکل دندانها (نازک شدن لبهها یا صاف شدن سطح جونده)
- در موارد شدید: درد شدید، آبسه یا از دست دادن دندان
تشخیص آسیب دندانی ناشی از اسید معده
تشخیص توسط دندانپزشک با معاینه بالینی انجام میشود:
- بررسی فرسایش مینا (سطوح صاف، براق یا شیشهای)
- تست حساسیت دندان (با هوا سرد یا شیرین)
- رادیوگرافی برای بررسی عمق آسیب
- ارزیابی سابقه پزشکی (رفلاکس، استفراغ، رژیم غذایی)
گاهی ارجاع به متخصص گوارش برای درمان رفلاکس ضروری است.
درمان آسیب دندانی ناشی از اسید معده
درمان آسیب دندانی ناشی از اسید معده به دو بخش اصلی تقسیم میشود:
اول کنترل و کاهش منبع اسید (یعنی جلوگیری از بازگشت اسید معده به دهان) و دوم ترمیم و بازسازی آسیبهای ایجادشده روی دندانها. بخش اول کاملاً ضروری است، زیرا اگر اسید معده همچنان بهطور مکرر با دندانها تماس داشته باشد، هر ترمیمی که انجام شود بهسرعت تخریب خواهد شد و نتیجه دائمی نخواهد داشت.
به همین دلیل، درمان موفق همیشه با همکاری متخصص گوارش آغاز میشود تا رفلاکس یا مشکلات گوارشی زمینهای کنترل شود. در این مرحله، دندانپزشک معمولاً بیمار را به متخصص گوارش ارجاع میدهد تا با تجویز داروهای ضداسید مانند امپرازول یا پنتوپرازول (مهارکنندههای پمپ پروتون) یا داروهای دیگر (مانند رانیتیدین یا آنتیاسیدها) اسیدیته معده کاهش یابد.
بخش دوم درمان، ترمیم و محافظت از دندانهای آسیبدیده است که بسته به شدت فرسایش و وضعیت دندانها متفاوت خواهد بود. در مراحل اولیه که فقط مینا کمی فرسوده شده، دندانپزشک معمولاً از فلورایدتراپی حرفهای یا وارنیش فلوراید استفاده میکند تا مینای باقیمانده تقویت شود و حساسیت کاهش یابد؛ این روش ساده و بدون درد است و میتواند فرآیند فرسایش را کند یا حتی متوقف کند.
اگر فرسایش عمیقتر باشد و عاج نمایان شده، باندینگ کامپوزیت یکی از گزینههای رایج و زیبایی است؛ در این روش، رزین کامپوزیت همرنگ دندان روی سطوح فرسوده قرار میگیرد تا هم ظاهر دندان بازسازی شود و هم از عاج حساس محافظت گردد. در مواردی که آسیب گستردهتر است و دندانها تغییر شکل زیادی دادهاند یا لبههایشان نازک و شکننده شده، روکش کامل (مانند روکش زیرکونیا یا تمام سرامیک) یا ونیر سرامیکی توصیه میشود؛ این روشها هم زیبایی را بازمیگردانند و هم دندان را در برابر اسیدهای آینده مقاومتر میکنند.
اگر پوسیدگی ثانویه (به دلیل نمایان شدن عاج و نفوذ باکتری) رخ داده باشد، ممکن است نیاز به عصبکشی (درمان ریشه) و سپس روکش باشد. در موارد بسیار شدید که دندان بهطور کامل تخریب شده یا قابل ترمیم نیست، کشیدن دندان و جایگزینی آن با ایمپلنت، بریج یا پروتز متحرک آخرین گزینه خواهد بود.
نکته مهم این است که درمان ترمیمی همیشه پس از کنترل اسید معده انجام شود تا نتیجه ماندگار باشد. برای ارزیابی دقیق وضعیت دندانهایتان، ترمیم حرفهای آسیبهای موجود و دریافت برنامه درمانی شخصیسازیشده، میتوانید به کلینیک مهرپارسه(دندانپزشکی) مراجعه نمایید تا با تجهیزات پیشرفته و تیم متخصص، مشکل ریشهای شناسایی و بهطور کامل مدیریت شود.

پیشگیری از آسیب دندانی ناشی از اسید معده
پیشگیری از آسیب دندانی ناشی از اسید معده مهمترین و مؤثرترین راه برای حفظ سلامت طولانیمدت دندانها است، زیرا فرسایش مینا برگشتناپذیر است و هر بار که اسید معده با دندانها تماس پیدا میکند، بخشی از ساختار مینا بهطور دائمی از بین میرود.
نکته کلیدی این است که پیشگیری دو جنبه دارد: اول، کاهش یا حذف منبع اسید (یعنی کنترل رفلاکس یا استفراغ) و دوم، محافظت از دندانها در برابر تماس احتمالی با اسید باقیمانده که بدون کنترل منبع اسید، حتی بهترین مراقبتهای دندانپزشکی هم نمیتواند آسیب را بهطور کامل متوقف کند؛ بنابراین بهترین نتیجه زمانی حاصل میشود که این دو بخش همزمان و بهطور جدی دنبال شوند. در ادامه مهمترین اقدامات پیشگیری را به صورت گامبهگام توضیح میدهیم:
| جنبه پیشگیری | اقدامات اصلی | روشها و مثالها |
|---|---|---|
| کنترل و کاهش منبع اسید | مدیریت رفلاکس معده، زخم یا فتق هیاتال | مشورت با متخصص گوارش، داروهای ضداسید مانند امپرازول، پنتوپرازول، آنتیاسیدها، درمان ریشهای مشکل گوارشی |
| تغییر سبک زندگی | کاهش تماس اسید با دندان و معده | خوردن وعدههای کوچک، اجتناب از غذا و نوشیدنی ۲–۳ ساعت قبل از خواب، کاهش وزن، بالا نگه داشتن سر تخت، ترک سیگار و الکل، پرهیز از غذاهای محرک و اسیدی |
| محافظت مستقیم از دندان | جلوگیری از فرسایش مینای نرمشده پس از تماس با اسید | شستشو با آب ساده یا محلول جوش شیرین بلافاصله پس از رفلاکس/استفراغ، صبر ۳۰–۶۰ دقیقه قبل از مسواک زدن، استفاده از نی برای نوشیدنیهای اسیدی، جویدن آدامس بدون قند (زایلیتول) |
| تقویت مینای باقیمانده | افزایش مقاومت دندان در برابر اسید | مسواک زدن دو بار در روز با خمیر دندان فلوراید بالا، استفاده روزانه از نخ دندان |
| رژیم غذایی مناسب | کاهش تماس مستقیم اسید با مینای دندان | کاهش مصرف مرکبات، آبلیمو، سرکه، نوشابه، قهوه زیاد و غذاهای ترش یا ترکیب آنها با وعدههای غذایی |
| چکآپ و پیگیری | شناسایی زودهنگام فرسایش و حساسیت | مراجعه به دندانپزشک هر ۶ ماه (یا زودتر در صورت علائم حساسیت)، فلورایدتراپی و اقدامات پیشگیرانه تخصصی |
سخن پایانی
آسیب دندانی ناشی از اسید معده اغلب بهآرامی شروع میشود و قابل بازسازی کامل نیست؛ هر بار رفلاکس، استفراغ یا مصرف مواد اسیدی، مینای دندان نازکتر شده، عاج نمایان میشود و حساسیت و تغییر رنگ ایجاد میکند. خوشبختانه این آسیب تا حد زیادی قابل پیشگیری است: شستشو با آب یا محلول جوش شیرین بعد از تماس اسیدی، استفاده از نی برای نوشیدنیهای اسیدی، جویدن آدامس بدون قند، خودداری از مسواک زدن بلافاصله پس از رفلاکس و چکآپ دندانپزشکی هر ۶ ماه. تشخیص زودهنگام و اقدام سریع از پیشرفت آسیب و هزینههای سنگین جلوگیری میکند.
سؤالات متداول درباره آسیب دندانی ناشی از اسید معده
آسیب دندانی ناشی از اسید معده چیست؟
آسیب دندانی ناشی از اسید معده نوعی فرسایش شیمیایی مینا است که در اثر تماس مکرر دندانها با اسید معده ایجاد میشود. این آسیب با پوسیدگی تفاوت دارد، چون باکتریایی نیست و مستقیماً مینای دندان را حل میکند.
چه افرادی بیشتر در معرض آسیب اسید معده به دندان هستند؟
افراد مبتلا به رفلاکس معده (GERD)، استفراغ مکرر (بارداری، بولیمیا، شیمیدرمانی)، مصرفکنندگان زیاد نوشیدنیهای اسیدی، افراد سیگاری، چاق یا دچار استرس مزمن بیشترین ریسک را دارند.
چرا اسید معده برای دندانها خطرناک است؟
اسید معده pH بسیار پایینی (حدود ۱.۵ تا ۳.۵) دارد که بسیار اسیدیتر از آستانه تحمل مینای دندان است. تماس مکرر با این اسید باعث دمینرالیزاسیون و نازک شدن دائمی مینا میشود.
اولین علامت آسیب دندانی ناشی از اسید معده چیست؟
شایعترین و اولین علامت، حساسیت دندان به سرما، گرما، شیرین یا ترش است که معمولاً بهتدریج شدیدتر میشود.
آیا فرسایش مینای دندان قابل ترمیم است؟
خیر. مینای دندان پس از تخریب بهطور طبیعی بازسازی نمیشود. اما اگر زود تشخیص داده شود، میتوان با فلورایدتراپی و اقدامات محافظتی از پیشرفت آن جلوگیری کرد.
آیا مسواک زدن بعد از رفلاکس یا استفراغ درست است؟
خیر. مسواک زدن بلافاصله پس از تماس اسید با دندان بسیار مضر است. باید ۳۰ تا ۶۰ دقیقه صبر کرد و در این فاصله فقط دهان را با آب یا محلول جوش شیرین شستشو داد.
آسیب اسید معده بیشتر کدام دندانها را درگیر میکند؟
معمولاً سطح داخلی دندانهای جلویی فک بالا و سطوح جونده دندانهای آسیاب بیشتر درگیر میشوند، چون تماس مستقیمتری با اسید برگشتی دارند.
درمان آسیب دندانی ناشی از اسید معده چگونه است؟
درمان دو بخش دارد:
1️⃣ کنترل منبع اسید (درمان رفلاکس توسط متخصص گوارش)
2️⃣ ترمیم دندانها با فلورایدتراپی، باندینگ کامپوزیت، روکش یا در موارد شدید عصبکشی و ایمپلنت
آیا بدون درمان رفلاکس، ترمیم دندانها موفق خواهد بود؟
خیر. اگر منبع اسید کنترل نشود، تمام ترمیمهای دندانپزشکی عمر کوتاهی خواهند داشت و آسیب دوباره تکرار میشود.
چه زمانی باید برای این مشکل به دندانپزشک مراجعه کرد؟
اگر دندانهایتان حساس شدهاند، زرد یا شفاف به نظر میرسند، یا سابقه رفلاکس و استفراغ مکرر دارید، باید هرچه زودتر برای معاینه تخصصی اقدام کنید.
آیا نوشیدنیهای اسیدی اثر مشابه اسید معده دارند؟
بله. نوشابهها، آبمیوههای صنعتی و نوشیدنیهای انرژیزا pH پایینی دارند و در مصرف طولانیمدت میتوانند اثری مشابه اسید معده روی مینای دندان ایجاد کنند.
برای پیشگیری روزانه از آسیب اسید معده چه کارهایی مؤثر است؟
- شستشوی دهان با آب یا محلول جوش شیرین بعد از رفلاکس
- جویدن آدامس بدون قند (زایلیتول)
- استفاده از نی برای نوشیدنیهای اسیدی
- پرهیز از مسواک زدن بلافاصله پس از تماس اسید
- چکآپ منظم دندانپزشکی


