بیماریهای لثه از جمله مشکلات رایج دهان و دندان هستند که میتوانند به طور جدی سلامت دهان را تهدید کنند. این بیماریها معمولاً به دلیل عفونت باکتریایی یا التهاب لثهها ایجاد میشوند و در صورت عدم درمان به موقع میتوانند منجر به مشکلات جدیتری مانند آسیب به استخوانهای حمایتکننده دندانها شوند. آگاهی از انواع بیماریهای لثه و تشخیص به موقع آنها از اهمیت بالایی برخوردار است تا از پیشرفت بیماری جلوگیری شود. در این راستا مشاوره با پزشک متخصص میتواند کمک شایانی به پیشگیری و درمان این مشکلات کند.
انواع بیماری های لثه کدام اند؟
بیماریهای لثه یکی از شایعترین مشکلات بهداشت دهان و دندان هستند که میتوانند تأثیرات منفی زیادی بر سلامت کلی بدن داشته باشند. این بیماریها اغلب به دلیل التهاب یا عفونت باکتریایی در لثهها بروز میکنند و اگر به موقع درمان نشوند میتوانند باعث از دست رفتن دندانها یا مشکلات جدیتر در دهان شوند. انواع مختلفی از بیماریهای لثه وجود دارند که از یک التهابات خفیف شروع میشوند و در صورت عدم درمان به مشکلات پیچیدهتری تبدیل میشوند. درک این بیماریها و شناخت علائم آنها برای جلوگیری از پیشرفت این مشکلات ضروری است.
ژنژیویت شایعترین نوع بیماری لثه است که معمولاً به دلیل تجمع پلاکهای میکروبی روی دندانها و لثهها ایجاد میشود. این بیماری باعث التهاب، قرمزی، خونریزی و تورم در لثهها میشود بهویژه هنگام مسواک زدن یا استفاده از نخ دندان. ژنژیویت معمولاً به دلیل رعایت نکردن بهداشت دهان و دندان مانند مسواک نزدن منظم، مصرف زیاد قند و عدم استفاده از نخ دندان ایجاد میشود. خوشبختانه ژنژیویت در صورتی که در مراحل اولیه تشخیص داده شود کاملاً قابل درمان است و با بهبود عادات بهداشت دهان و دندان، التهاب و علائم آن از بین میرود. با این حال اگر این بیماری درمان نشود ممکن است پیشرفت کرده و به انواع شدیدتر بیماریهای لثه تبدیل شود.
پریودنتیت یک مرحله پیشرفتهتر از ژنژیویت است که زمانی رخ میدهد که التهاب به لایههای عمیقتر لثه نفوذ کرده و به بافتهای حمایتی دندانها آسیب میزند. در این نوع بیماری لثه، لثهها از دندانها جدا شده و فاصلههایی به نام پاکتهای پریودنتال ایجاد میشود که محل مناسبی برای رشد باکتریها هستند. علائم پریودنتیت شامل خونریزی مداوم لثهها، بدبویی دهان، احساس درد در هنگام جویدن و دندانهای شل شده است. در صورتی که پریودنتیت درمان نشود ممکن است باعث تخریب دائمی استخوان و بافتهای اطراف دندانها شود و حتی منجر به از دست دادن دندانها گردد. درمان این بیماری معمولاً شامل پاکسازی عمقی دندانها و در برخی موارد جراحی لثه است.
پریودنتیت پیشرفته یکی از مراحل نهایی و شدید بیماریهای لثه است که در آن آسیب به بافتهای استخوانی و لثه به حدی شدید است که احتمال از دست رفتن دندانها وجود دارد. در این مرحله باکتریها به طور قابل توجهی به استخوانهای حمایتکننده دندان حمله کرده و باعث تخریب آنها میشوند. علائم این بیماری شامل درد شدید، تورم، خونریزی و دندانهای شل یا جابجا شده است. در بسیاری از موارد درمانهای پیشرفتهای مانند جراحیهای لثه، درمانهای دارویی و حتی کشیدن دندانهای آسیبدیده برای جلوگیری از عوارض بیشتر نیاز است. این نوع بیماری لثه نیاز به توجه فوری و درمان تخصصی دارد تا از گسترش آسیبها جلوگیری شود.
این نوع بیماری لثه به دلیل مصرف برخی داروها به وجود میآید که میتوانند باعث خشکی دهان یا تغییرات در ترکیب بزاق شوند. برخی داروهای خاص مانند داروهای ضد تشنج، داروهای کاهنده فشار خون و داروهای هورمونی میتوانند موجب التهاب و خونریزی لثهها شوند. در صورت عدم مراقبت صحیح از بهداشت دهان این نوع بیماری میتواند به سرعت به شکل شدیدتری تبدیل شود. به همین دلیل افرادی که داروهای خاص مصرف میکنند باید تحت نظر پزشک خود مراقبتهای بهداشت دهان را با دقت بیشتری انجام دهند و به پزشک اطلاع دهند تا در صورت لزوم تغییرات لازم در درمان انجام گیرد.
برخی بیماریهای عمومی مانند دیابت، بیماریهای قلبی و مشکلات هورمونی میتوانند به مشکلات لثه منجر شوند. دیابت بهویژه با ایجاد مشکلات در سیستم ایمنی بدن خطر ابتلا به بیماریهای لثه را افزایش میدهد. همچنین تغییرات هورمونی در دوران بارداری، یائسگی یا استفاده از قرصهای ضد بارداری میتواند باعث افزایش حساسیت لثهها و بروز التهاب شود. در این موارد مدیریت بیماری زمینهای و مراقبت دقیق از بهداشت دهان و دندان بسیار ضروری است تا از بروز مشکلات جدیتر جلوگیری شود.
یک لثه بیمار چه علائمی دارد؟
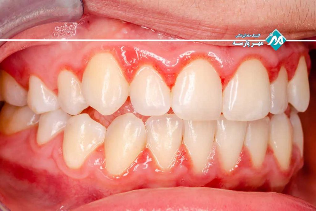
لثههای بیمار میتوانند علائم متعددی داشته باشند که بهطور عمده به التهاب یا عفونت باکتریایی مربوط میشوند. این علائم بسته به نوع بیماری لثه و شدت آن میتواند متفاوت باشد اما برخی از علائم شایع عبارتند از.
- خونریزی لثهها: یکی از شایعترین علائم بیماری لثه خونریزی هنگام مسواک زدن یا استفاده از نخ دندان است. این خونریزی معمولاً نشاندهنده التهاب لثههاست و بهویژه در ژنژیویت مشاهده میشود.
- تورم و قرمزی لثهها: لثههای بیمار معمولاً متورم و قرمز میشوند و این التهاب میتواند باعث حساسیت بیشتر در هنگام لمس یا جویدن غذا شود.
- درد یا حساسیت در لثهها: لثههای بیمار ممکن است دردناک شوند بهویژه زمانی که با مواد غذایی یا مسواک در تماس باشند. این درد میتواند در مراحل پیشرفته بیماریهای لثه شدیدتر شود.
- عفونت و بوی بد دهان (هالیتوزیس): اگر لثهها دچار عفونت شده باشند ممکن است بوی بدی از دهان منتشر شود. این بوی نامطبوع بهدلیل رشد باکتریها در نواحی عفونی است.
- دندانهای شل یا جابجا شده: در مراحل پیشرفتهتر بیماریهای لثه، لثهها ممکن است از دندانها جدا شوند و باعث شل شدن یا جابجایی دندانها شوند. این وضعیت در پریودنتیت و پریودنتیت پیشرفته دیده میشود.
- تغییر در ظاهر لثهها: لثهها ممکن است از دندانها فاصله بگیرند و شکافهایی به نام پاکتهای پریودنتال ایجاد شود که محل تجمع باکتریها و عفونت است.
- احساس مزه بد در دهان: در برخی موارد التهاب و عفونت لثه میتواند باعث احساس طعم ناخوشایند یا مزه بد در دهان شود.
- آبسه یا تورم در اطراف دندانها: آبسهها که معمولاً بهصورت تودههای پر از چرک در اطراف دندانها بروز میکنند میتوانند نشانهای از عفونت شدید لثهها باشند.
اگر این علائم مشاهده شد ضروری است که فرد به دندانپزشک مراجعه کرده تا وضعیت لثهها بررسی و درمان مناسب انجام شود زیرا در صورت عدم درمان به موقع بیماریهای لثه میتوانند به مشکلات جدیتری مانند از دست دادن دندانها منجر شوند.

روش های درمان بیماری های لثه
درمان بیماریهای لثه بستگی به نوع و شدت بیماری دارد اما بهطور کلی شامل مجموعهای از روشهای پیشگیرانه و درمانی است که میتواند شامل مراقبتهای بهداشتی در خانه، درمانهای حرفهای در مطب دندانپزشک و در موارد شدیدتر جراحی باشد. در ادامه روشهای مختلف درمان بیماریهای لثه را بررسی میکنیم.
آنتیبیوتیکها: در برخی موارد بهویژه در بیماریهای لثه که ناشی از عفونتهای باکتریایی هستند پزشک ممکن است آنتیبیوتیکهایی تجویز کند. این آنتیبیوتیکها میتوانند بهصورت خوراکی یا موضعی (مانند ژلهای آنتیبیوتیکی که در پاکتهای لثه قرار داده میشوند) باشند. درمان با آنتیبیوتیکها میتواند به کاهش التهاب و عفونت کمک کند.
جراحی لثه: اگر بیماری لثه به مراحل پیشرفته مانند پریودنتیت پیشرفته رسیده باشد و درمانهای غیرجراحی مؤثر نباشند ممکن است جراحی لثه برای بهبود وضعیت لثهها و جلوگیری از آسیب بیشتر ضروری باشد. انواع جراحیهای لثه عبارتند از.
جراحی لثه (Flap Surgery): در این روش لثهها بالا میروند تا بتوان بافتهای آلوده و تارتار را از زیر لثه تمیز کرد. پس از پاکسازی لثهها دوباره در جای خود قرار میگیرند.
جراحی پیوند استخوان (Bone Grafting): در صورتی که بیماری لثه باعث از بین رفتن استخوانهای اطراف دندان شده باشد ممکن است نیاز به جراحی پیوند استخوان برای بازسازی ساختار استخوانی باشد.
جراحی پیوند لثه (Gum Grafting): اگر لثهها از دندانها عقب رفته باشند پیوند لثه میتواند برای بازسازی لثهها و محافظت از دندانها انجام شود.
لیزر درمانی: لیزر درمانی یکی از روشهای جدید در درمان بیماریهای لثه است که در آن از انرژی لیزری برای حذف باکتریها، کاهش التهاب و تحریک بهبودی استفاده میشود. این روش نسبت به جراحی سنتی کمدردتر است و دوره نقاهت کوتاهتری دارد.
ترمیم دندانهای آسیبدیده: اگر بیماری لثه منجر به شل شدن یا آسیب به دندانها شده باشد دندانپزشک ممکن است از روشهای ترمیمی برای استحکام دوباره دندانها استفاده کند. این شامل استفاده از بریجها یا تاجها برای دندانهای آسیبدیده و حتی کشیدن دندانهای شدیداً آسیبدیده است.
کنترل بیماریهای زمینهای: بیماریهای زمینهای مانند دیابت، بیماریهای قلبی و اختلالات هورمونی میتوانند تأثیر زیادی بر سلامت لثهها داشته باشند. درمان این بیماریها و کنترل آنها میتواند به جلوگیری از پیشرفت بیماریهای لثه کمک کند. برای مثال، کنترل قند خون در دیابت میتواند التهاب لثهها را کاهش دهد و از بروز مشکلات لثه جلوگیری کند.
جمع بندی
بیماریهای لثه از شایعترین مشکلات دهان و دندان هستند که میتوانند از التهاب خفیف لثهها (ژنژیویت) تا مشکلات جدیتر مانند پریودنتیت پیشرفته و آسیب به استخوانهای دندانها پیشرفت کنند. علائم این بیماریها شامل خونریزی، تورم، درد و شل شدن دندانهاست. پیشگیری با رعایت بهداشت دهان و دندان، مسواک زدن منظم، استفاده از نخ دندان و مراجعه منظم به دندانپزشک امکانپذیر است. در صورت بروز علائم درمانهای مختلفی مانند پاکسازی دندانها، آنتیبیوتیکها و جراحی لثه وجود دارند. کلینیک مهر پارسه با ارائه درمانهای تخصصی و مدرن به شما کمک میکند تا سلامت لثهها و دندانهای خود را بازگردانید. همین حالا با ما تماس بگیرید و از خدمات حرفهای بهرهمند شوید.
سوالات متداول انواع بیماری های لثه
چرا لثهها خونریزی میکنند؟
خونریزی لثهها معمولاً نشانهای از التهاب یا عفونت در لثهها است که بهطور معمول به دلیل تجمع پلاکهای میکروبی روی دندانها و لثهها ایجاد میشود. ژنژیویت (التهاب لثه) یکی از علل اصلی این مشکل است. اگر لثهها بهطور مکرر خونریزی کنند باید به دندانپزشک مراجعه کنید.
آیا بیماری لثه قابل درمان است؟
بله، بیماریهای لثه قابل درمان هستند. در مراحل اولیه مانند ژنژیویت بیماری لثه میتواند به راحتی با بهبود بهداشت دهان و دندان درمان شود. اما در مراحل پیشرفتهتر مانند پریودنتیت نیاز به درمان حرفهای در مطب دندانپزشک است. در موارد شدید ممکن است به جراحی لثه نیاز باشد.
چگونه میتوان از بیماریهای لثه پیشگیری کرد؟
پیشگیری از بیماریهای لثه با رعایت بهداشت مناسب دهان و دندان امکانپذیر است. مسواک زدن حداقل دو بار در روز، استفاده از نخ دندان روزانه و مراجعه منظم به دندانپزشک برای معاینات دورهای از جمله مهمترین روشهای پیشگیری از بیماریهای لثه هستند.
چرا باید به دندانپزشک برای درمان بیماری لثه مراجعه کنم؟
درمان بیماریهای لثه در مراحل اولیه ممکن است تنها با تغییر در عادات بهداشت دهان و دندان قابل انجام باشد اما در صورت پیشرفت بیماری نیاز به درمان حرفهای از سوی دندانپزشک است. دندانپزشک میتواند پاکسازی عمقی دندانها استفاده از آنتیبیوتیکها و حتی جراحی را برای درمان بیماریهای لثه انجام دهد.


